- 유방 초음파검사 (Ultrasonography)
유방 초음파검사 (Ultrasonography)
서양 여성에 비해 한국 여성의 경우에는 유방안에 섬유선 조직이 많은 치밀유방, 고밀도유방인 경우가 많습니다.
유방조직이 치밀한 경우에는 이런 치밀한 조직안에 혹이 숨어 있으면 유방엑스선촬영(맘모그래피)으로는 혹이 있더라도 발견을 하기가 어렵습니다.
이런 경우에 초음파검사를 하면 혹이 있는지를 잘 찾아볼 수 있습니다.
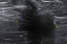
초음파검사에서 혹이 관찰되면, 이 혹이 내부가 액체로 되어 있는 물혹이나 고름주머니인지, 아니면 증식된 종양 세포들로 이루어진 덩어리, 즉 종양인지를 구분할 수 있습니다.
물혹은 검은 음영으로, 종양은 회색음영으로 나타납니다.

그리고 종양의 모양을 보고도 양성 종양인지, 악성 종양(암)인 지를 구별할 수 있습니다. 양성 종양은 가장자리가 매끈한 모양으로 많이 나타나지만, 악성 종양의 경우는 주위 조직으로 번져나가는 특징이 있기 때문에 가장자리가 삐죽삐죽 튀어나온 불규칙한 모양으로 나타나는 경우가 많습니다.

물혹(낭종) 양성종양 암

1 









